Fill this form and book your appointment today.
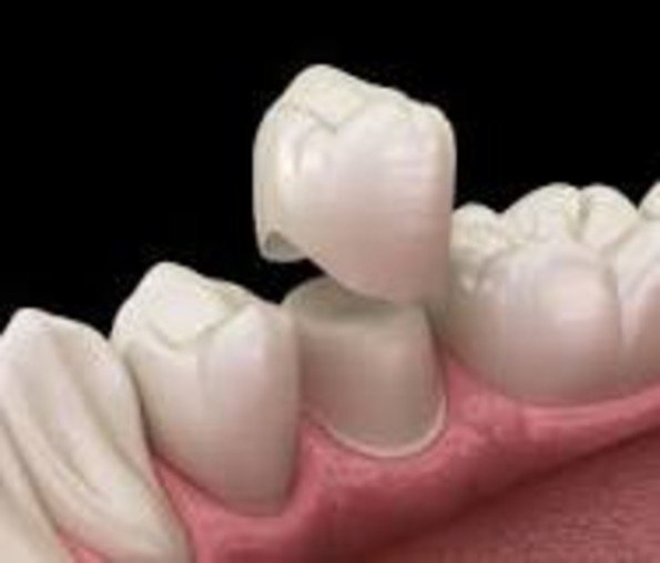
Dental Crown.
Restores a decayed, broken, weak or worn down tooth.
Covers and protects root canal treated teeth.
Improve the health of a tooth.
Enhance the appearance of your tooth.